Brachytherapie
Wie funktioniert die permanente Seed-Implantation?
Bei der permanenten Seed Implantation werden kleine strahlende Stifte ( Seeds ) über Hohlnadeln direkt in die Prostata implantiert.
Die Seeds geben Ihre Strahlung von Innen über mehrere Monate an das umliegende Gewebe ab. Die Strahlung besitzt eine sehr kurze Reichweite; die Millimeter genaue Positionierung, welche mit Computern berechnet wird, verhindert eine Schädigung des umliegenden gesunden Gewebes.
Die permanente Seed Implantation ist ein aufwendiges Operationsverfahren, das einen hohen technischen und apparativen Aufwand erfordert. Strahlentherapeut, Urologe und Medizin physiker, sowie Anästhesist bilden das Operationsteam. Die Operation erfolgt vorzugsweise unter Vollnarkose und dauert etwa eine bis eineinhalb Stunden.
Was geschieht nach der Operation?
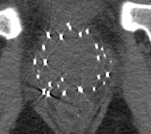
Seed auf dem Röntgenbild
Bei der Kontrolluntersuchung - werden Position und Wirkungsgrad der Stifte (Seeds) kontrolliert.
Grundsätzlich wird der Eingriff in einem sehr kurzen stationären Aufenthalt durchgeführt. Bereits einen Tag nach dem Eingriff kann der Patient in seine gewohnte häusliche Umgebung entlassen werden. Eine Nachkontrolle beim behandelnden Urologen soll am darauf folgenden Tag stattfinden.
Etwa 4 Wochen nach der Implantation der Seeds wird eine Qualitätskontrolle der Operation durchgeführt, um sicher zu stellen, dass auch wirklich das gesamte Prostatagewebe mit einer ausreichend hohen Strahlung versorgt wurde. Ein Kernspin-und /oder Computertomogramm erfasst exakt die Lage der implantierten Seeds. Ein Computerprogramm berechnet dann nochmals die applizierte Strahlendosis.
Welche Vorteile bietet die Methode dem Patienten?
Bei Prostatakarzinomen im Frühstadium ist die transperineale Seed Implantation mehr als nur eine schonende Alternative. Die Seedimplantation wird bei Prostatakrebs im Frühstadium als alleinige Therapie ohne weitere Maßnahmen mit sehr guten Ergebnissen angewandt, kann aber auch in fortgeschrittenen Stadien mit einer äußeren Bestrahlung kombiniert werden.
Welche Heilungserfolge sind zu erwarten?
Die Seed Implantation ist ein noch relativ neues Operationsverfahren zur Behandlung des Prostatakrebses im Frühstadium, das in den letzten Jahren bedingt durch eine rasante Entwicklung auf dem medizinischen Gerätesektor rasch an Bedeutung gewonnen hat. Allein in den USA wurden bereits weit über 100.000 Patienten mit dieser Methode behandelt, in Europa nimmt deren Zahl stetig zu. Vergleicht man die Ergebnisse der Behandlungsmethoden Totaloperation – externe Bestrahlung – permanente Seedimplantation, so zeigen 10- bis 12-Jahresdaten für diese drei Behandlungsmethoden nahezu gleiche Ergebnisse. Voraussetzung ist stets eine sorgfältige Auswahl der Patienten zu den einzelnen Therapieverfahren.
Welche Nebenwirkungen sind zu erwarten?
Die geringe Invasivität der Seed Implantation spiegelt sich in deutlich niedrigeren Nebenwirkungsraten im Vergleich zur Totaloperation oder der externen Bestrahlung wieder. Wie bei jeder onkologisch wirksamen Therapie ist die Seed Implantation jedoch nicht frei von Nebenwirkungen.
Kontinenzprobleme treten in den seltensten Fällen auf, die Potenz bleibt nach permanenter Seed Implantation meist erhalten.
Ausführliche Informationen entnehmen Sie bitte unserer Patienteninformation
oder zum Ausdrucken der Datei als PDF [162 KB]
. Um PDF's zu betrachten benötigen Sie den Adobe Reader

